【まとめ】成人発症IgA血管炎
IgA血管炎は別名"アレルギー性紫斑病"や"ヘノッホ・シェーンライン紫斑病"とも言われる主に小児で発症する血管炎である。しかし稀ながら成人でも発症し、成人例では小児例と違った臨床像を呈すことも多い。また小児ではvirusに随伴したものや特発性が多いが、成人では背景に疾患や原因となる薬剤が認められることが多い。さらに小児では経過観察で自然軽快することも多いが、一方で成人例では治療が必要になる場合も多い。しかしながら治療推奨は小児のエビデンスで示されることも多く、定まったものはない。
今回IgA血管炎に関してまとめた。
<総論>
■病態
IgA血管炎の病態はまだ完全にはわかっていないが、本来補体活性化能の低いIgAが病原性を持つのはIgA腎症と同様にIgAのヒンジ部 O 型糖鎖にガラクトースが欠損しているIgA1(galactose deficient IgA1:Gd-IgA1)が関連していると言われている。このGd-IgA1を認識するIgGが産生されることで免疫複合体が形成され、炎症が惹起される。またGd-IgA1が増加しているだけではIgA血管炎は発症せず、感染や薬剤などの"second hit"がIgA血管炎の発症に重要であると考えられている。(by Kelly)
■診断 IgA血管炎の3主徴 "紫斑、腹痛、関節痛"
診断基準:2つ
①1990 ACR
②2010 EULAR/PRINTO/PRES

→成人の診断基準はない
実臨床ではIgA沈着優位のleukocyteclastic vasculitisを生検で証明したり、身体所見+症状で臨床診断されることが多い。

■疫学
・小児では毎年3.0~26.7人/100,000、成人では0.8~1.8人/100,000の頻度で発症する。
・男性優位に発症(M:F=1.5:1)
・小児では秋〜冬にかけて多くみられるが、成人では一貫した発症しやすいシーズンは示されていない。
<臨床症状>
■皮膚症状
・ほぼ全例で症状あり
・IgA血管炎は流速が低下しやすい下肢に発症しやすいことは共通している。
・成人例ではやや体幹(37.4%)に多い傾向にある。
・有意差を持って潰瘍性病変(10.9%)が多い。
by Mayoにおける小児IgAVと成人IgAVの比較研究(後向)
・皮膚の壊死(25%)や血包(8~12%)も多い。
Hemorrhagic Bullous Immunoglobulin A Vasculitis in an Adolescent
by スウェーデンにおける成人発症IgA血管炎の特徴
→これらの小児のIgA血管炎では非典型的な皮疹はIgA血管炎の診断を否定するものではなかったことが示されている。
・頭頸部病変は小児例で多いが成人例では少ない⇔頭頸部の紫斑を持つ患者では皮膚潰瘍や治療反応が悪い傾向にあった。また腎outcomeが悪い傾向にあった。
■筋骨格症状
・30~60%で関節症状が報告されている
・関節炎は16%程度である
・全体的に成人例では小児と比較して少ない
・一般的な特徴として一過性、遊走性、非びらん性
・下肢の関節(膝・足関節)に多い
・関節炎のみで発症することは稀
MayoクリニックのMalthew J Koster先生のACR2023での発表より
■消化器症状
・37~65%で消化器症状を伴う
・最も一般的な症状は疝痛のような腹痛で、続いて血便・下痢・吐き気・嘔吐の症状がある
・重症例では手術が必要な血性の下痢(2~4%)、イレウス(6.5%~9%)
・腹部症状のある患者では13因子や便潜血を行うことを提案する人もいる

MayoクリニックのMalthew J Koster先生のACR2023での発表より
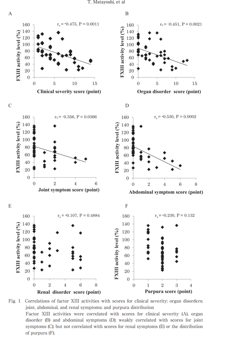
★13因子とIgA血管炎
13因子の低下は関節炎スコアや腹部症状スコアと相関していたが腎臓スコアとは相関していなかった
■腎障害
・通常数週以内に腎臓症状を発症する。数ヶ月後に発症する可能性がある。
・赤血球円柱がなくとも顕微鏡的血尿 or 肉眼的血尿はIgA血管炎腎症(IgAV-N)を示唆する感度の高い検査
・小児に腎症を呈することは稀で成人例では AKIの発生率は最大32%に達する
・IgAV-Nの10~30%ではCKDに移行する

MayoクリニックのMalthew J Koster先生のACR2023での発表より
★IgA血管炎とIgA腎症の比較
→IgANの方が慢性腎障害はつよい
違いとしてはIgAVではフィブリノーゲンの沈着が強く、凝固も活性化していた。
■神経障害
・神経障害はまれ。
by Mayoにおける小児IgAVと成人IgAVの比較研究(後向)
・リテラチャーレビューを行い、54件の神経障害を伴うIgAVの報告があった
ほとんどが高血圧に関連した症状で、末梢神経障害などはやはりまれ。
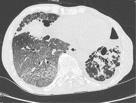
■稀な症状
・肺胞出血:
IgA血管炎で肺胞出血をきたしたケースとリテラチャーレビュー
・睾丸梗塞:
Testicular infarction in an adult patient with systemic IgA vasculitis | Clinical Rheumatology
・中枢神経病変:
PRESやCNS vasculitisの報告がある
・眼
強膜炎・角膜炎の報告:
<治療>
・小児の94%、成人の89%は自然に治癒するため対症療法が主な介入となる。
・対症療法としては関節痛にはアセトアミノフェンやNSAIDsなど。
・コクランレビューでも腎炎の予防に関してステロイドの効果がないと結論付けられている。
・腹痛や関節症状の改善に関しては1~2日早く改善することが示されているため、対症療法で改善しない場合には考慮しても良い。
・免疫抑制剤は重度の腎障害を伴う例に考慮されており、シクロスポリンとMMFのステロイド抵抗性腎症の治療に関するRCTで有効性を示している。またダプソンとRTXも重度の皮膚病変や腎症を持つ患者に早期の有効性を示している。
成人に関しては主に以下のような研究がある:

Adult-onset IgA vasculitis (Henoch-Schönlein): Update on therapy
★MayoクリニックのMalthew J Koster先生は以下のような治療を提案している

<予後>
・30%の患者が再燃(中央値; 1ヶ月)を経験し、成人の場合は消化管症状・関節症状の有無が再燃の予測因子となった。
・再燃は 皮膚(80%)>>>消化管・腎臓・関節 の順に多い。
Relapses in patients with Henoch-Schönlein purpura: Analysis of 417 patients from a single center
<CQ>
①IgA血管炎のルーチン検査で検査可能な重症度のバイオマーカーはあるか?
=好中球/リンパ球比の高値が重症度と関連
②IgA血管炎でANCA陽性は予後に関連するか?
=IgA 血管炎患者 86 人中 5人(5.8%)がANCA陽性で全員がMPO-ANCA
ANCA+IgA血管炎は
・肺、神経へのIgA血管炎が多かった
・腎臓病変に有意差はなかった
・腎組織学的特徴、腎機能に関連する不良転帰に有意差はなかった
③誘発因子は?
・感染との関連
=感染関連のIgA血管炎は感染を伴わないIgA血管より予後良好な可能性があり聴取は重要!

・腫瘍との関連
❶体幹に皮疹があると悪性腫瘍多い?
=関係なさそう 壊死は少ない
❷悪性腫瘍との関連
=特に大腸、膀胱癌、肺がんが多い(IgAなので粘膜に関連した腫瘍が大事)
悪性腫瘍関連のIgA血管炎は一貫してIgAの値が高い傾向にある(4.5 vs. 3.6 g/L; p < 0.0083)
New insights on IgA vasculitis with underlying solid tumor: a nationwide French study of 30 patients
・薬剤性誘発性のIgA血管炎
→ワクチン関連が多いが、抗生剤に関連するものも多い。最近ではTNFα阻害薬やDOACによるものも報告されている。
薬剤関連の症例では糸球体腎炎少ない(かも)
❶TNF阻害薬誘発性
・IBD患者でTNF誘発性のIgA血管炎多い?(TNF阻害再開でIgAV再燃)
・TNF使用中の血管炎 39人のうち2人で腎臓にIgAの沈着が見られた
❷IL17阻害薬誘発性
・Seckinumab誘発性のIgA血管炎
❸DOAC誘発性
(コメント)
今後は他の血管炎のようにリツキシマブが使用されるようになるのだろうか?






























