究極の虫歯治療とは一度治した虫歯は二度と虫歯にならない治療!だということをヤマザキ先生は30年前から証明し続けています。
矯正失敗などで重度の歯周病になり、歯根が剥き出しになり抜歯して総入れ歯を薦められた人が、GVBDOで治療を受けると20年経過しても歯を失うことはない、というエビデンスの治療
GVBDO 2021 コロナのストレスで食いしばりがすごくなり歯が欠けた人の応急治療
謹賀新年2022 。前の差し歯が外れる理由は色々あるんだけど、大事なのは外れた時、自分の歯が無傷であるということ。付け直せばいいだけだからね。
マウスピース矯正についてヤマザキ先生の個人的な見解は、しない、かかわらない、巻き込まれない、と言うことかも。
ストレスで歯の神経が死んで顔が腫れている人が増えていますがあなたは大丈夫?中心結節がらみはヤバイよね。
マウスピース矯正といえばインビザラインが有名だけど、単体ではできない症例が多いので、やる前には情報の収集がとても大切です。歯科難民にならないようにしましょう。
ヤマザキ先生の顎関節症から回復する歯科治療を18年前に受けたミューパは54歳になっても絶好調ですが、なぜか歯の神経がヤバイので、ヤマザキ先生にはとても不思議なのです。
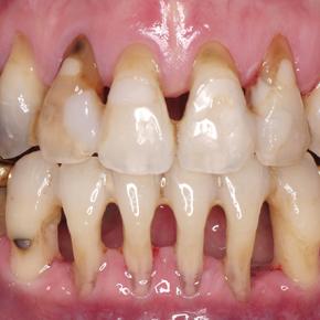
健康茶を1日に1L以上飲んでいる人は、6ヶ月に一度の定期検診で、歯の清掃をしてもらわないと、平安貴族のお歯黒状態になる可能性が高いという実際の画像
中心結節の神経が死んだときの治療は根尖の形を把握できない歯医者さんがやると醜く失敗するので、歯医者さん選びは慎重に。ヤマザキ先生の所に竜がやってきたのはなぜ?
最近の歯科治療で気付くのは、突然、神経が死ぬ人が増えている、原因は免疫力の低下、ではないかという推測をしています。
神経が死んでしまい歯茎から膿が出ている歯でも最短で2回の治療で終了するというのがヤマザキ先生のアメリカ歯科標準治療。実際の症例の紹介。
Talon Cuspは異常結節と訳す歯医者さんがいますが、形状が普通と違うだけで、機能的には問題がないことが多く、治療も特に必要はないと思いますね。
骨隆起は大きくても気づかず、ヤマザキ先生の撮った写真を見てびっくりする人がいますが、問題がなければ何もする必要がない、と覚えておきましょう。
Super GPの行う歯列矯正の実際の治療 #高山市 #歯列矯正 #superGP #矯正女子
にほんブログ村 にほんブログ村 にほんブログ村 このブログは個人的な備忘録です。物忘れが激しいので毎日書いてます。小屋の天気は曇りのち晴れ。あけましてお…
にほんブログ村 にほんブログ村 にほんブログ村 このブログは個人的な備忘録です。物忘れが激しいので毎日書いてます。小屋の天気は曇りのち晴れ。朝の気温は-…
にほんブログ村 にほんブログ村 にほんブログ村 このブログは個人的な備忘録です。物忘れが激しいので毎日書いてます。小屋の天気は雪。朝から雪が降り出した。…
野菜栽培で化成肥料を減らせるかの試み! - 今年の野菜栽培は、ほぼ満足できる結果になりました。 特に、落花生、白菜、カボチャは良かったです。 来年は、化成肥料の使用量を減らす試みにチャレンジしてみようと思っています。 農協が紹介しているユートリシャNという微生物資材。 ...
にほんブログ村 にほんブログ村 にほんブログ村 このブログは個人的な備忘録です。物忘れが激しいので毎日書いてます。小屋の天気は雪。朝から雪が降り出した。…
にほんブログ村 にほんブログ村 にほんブログ村 このブログは個人的な備忘録です。物忘れが激しいので毎日書いてます。小屋の天気は曇りのち晴れ。あけましてお…
高山市で開業して28年。飛騨高山バランス整体・こせ接骨院の公式サイトです。高山市・飛騨地区で整体をお探しでしたら、柔道整復師の国家資格を持つ院長が治療のすべてを担当する当院にお任せください。
映画と旅行が大好きな筆者が送る、日常の出来事を綴ったブログです。観た映画の感想や心に残ったシーン、旅先での思い出やおすすめスポットなど、まるで映画のワンシーンのような日々をお届けします。映画好き、旅好きの方はぜひ遊びに来てください!」
高山市、ホームページと印刷中島印刷です。お店や個人事業者の皆様に、安心価格でホームページをご提供しています。印刷全般承っております。お気軽にご連絡ください。
高山市、ホームページと印刷中島印刷です。web制作、安心価格でホームページをご提供しています。パンフレット、ちらし、はがき、ポスターなどなど、印刷全般承っております。
「地域生活(街) 中部ブログ」 カテゴリー一覧(参加人数順)
このブログをアプリでフォローする
XXXさん
ブログをみる無料アプリ
ブログみるはブログ村の姉妹アプリです