Skip to content

Latest commit

 

History

History
2410 lines (2014 loc) · 57.6 KB

File metadata and controls

2410 lines (2014 loc) · 57.6 KB
github_url:https://github.com/Project-MONAI/MONAI

Transforms

Generic Interfaces

.. automodule:: monai.transforms
.. currentmodule:: monai.transforms

Transform

.. autoclass:: Transform
    :members:
    :special-members: __call__

MapTransform

.. autoclass:: MapTransform
    :members:
    :special-members: __call__

RandomizableTrait

.. autoclass:: RandomizableTrait
    :members:

LazyTrait

.. autoclass:: LazyTrait
    :members:

MultiSampleTrait

.. autoclass:: MultiSampleTrait
    :members:

ReduceTrait

.. autoclass:: ReduceTrait
    :members:

Randomizable

.. autoclass:: Randomizable
    :members:

LazyTransform

.. autoclass:: LazyTransform
    :members:

RandomizableTransform

.. autoclass:: RandomizableTransform
    :members:

Compose

.. autoclass:: Compose
    :members:
    :special-members: __call__

InvertibleTransform

.. autoclass:: InvertibleTransform
    :members:

TraceableTransform

.. autoclass:: TraceableTransform
    :members:

BatchInverseTransform

.. autoclass:: BatchInverseTransform
    :members:

Decollated

.. autoclass:: Decollated
    :members:

OneOf

.. autoclass:: OneOf
    :members:

RandomOrder

.. autoclass:: RandomOrder
    :members:

SomeOf

.. autoclass:: SomeOf
    :members:

Functionals

Crop and Pad (functional)

.. automodule:: monai.transforms.croppad.functional
    :members:

Spatial (functional)

.. automodule:: monai.transforms.spatial.functional
    :members:

.. currentmodule:: monai.transforms

Vanilla Transforms

Crop and Pad

PadListDataCollate
.. autoclass:: PadListDataCollate
    :members:
    :special-members: __call__

Pad
.. autoclass:: Pad
    :members:
    :special-members: __call__

SpatialPad

example of SpatialPad

.. autoclass:: SpatialPad
    :members:
    :special-members: __call__

BorderPad

example of BorderPad

.. autoclass:: BorderPad
    :members:
    :special-members: __call__

DivisiblePad

example of DivisiblePad

.. autoclass:: DivisiblePad
    :members:
    :special-members: __call__

Crop
.. autoclass:: Crop
    :members:
    :special-members: __call__

SpatialCrop

example of SpatialCrop

.. autoclass:: SpatialCrop
    :members:
    :special-members: __call__

CenterSpatialCrop

example of CenterSpatialCrop

.. autoclass:: CenterSpatialCrop
    :members:
    :special-members: __call__

RandSpatialCrop

example of RandSpatialCrop

.. autoclass:: RandSpatialCrop
    :members:
    :special-members: __call__

RandSpatialCropSamples

example of RandSpatialCropSamples

.. autoclass:: RandSpatialCropSamples
    :members:
    :special-members: __call__

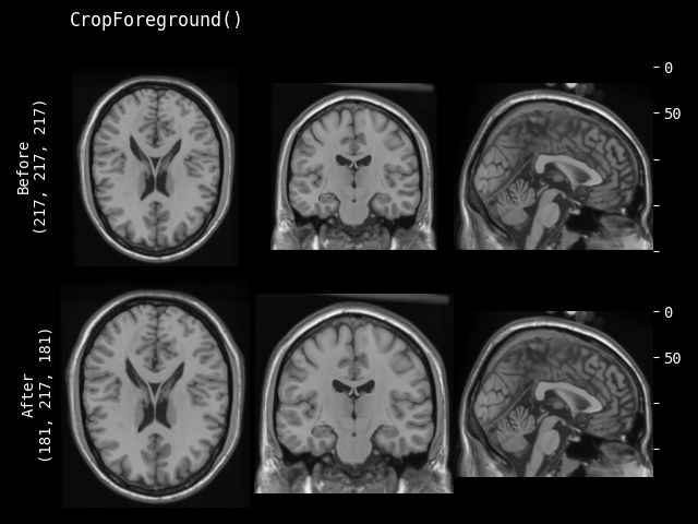
CropForeground

example of CropForeground

.. autoclass:: CropForeground
    :members:
    :special-members: __call__

RandWeightedCrop

example of RandWeightedCrop

.. autoclass:: RandWeightedCrop
    :members:
    :special-members: __call__

RandCropByPosNegLabel

example of RandCropByPosNegLabel

.. autoclass:: RandCropByPosNegLabel
    :members:
    :special-members: __call__

RandCropByLabelClasses

example of RandCropByLabelClasses

.. autoclass:: RandCropByLabelClasses
    :members:
    :special-members: __call__

ResizeWithPadOrCrop

example of ResizeWithPadOrCrop

.. autoclass:: ResizeWithPadOrCrop
    :members:
    :special-members: __call__

BoundingRect
.. autoclass:: BoundingRect
    :members:
    :special-members: __call__

RandScaleCrop

example of RandScaleCrop

.. autoclass:: RandScaleCrop
    :members:
    :special-members: __call__

CenterScaleCrop

example of CenterScaleCrop

.. autoclass:: CenterScaleCrop
    :members:
    :special-members: __call__

Intensity

RandGaussianNoise

example of RandGaussianNoise

.. autoclass:: RandGaussianNoise
    :members:
    :special-members: __call__

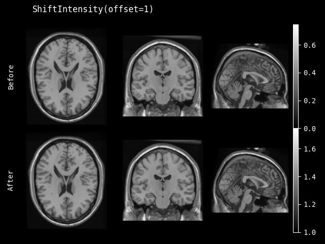
ShiftIntensity

example of ShiftIntensity

.. autoclass:: ShiftIntensity
    :members:
    :special-members: __call__

RandShiftIntensity

example of RandShiftIntensity

.. autoclass:: RandShiftIntensity
    :members:
    :special-members: __call__

StdShiftIntensity

example of StdShiftIntensity

.. autoclass:: StdShiftIntensity
    :members:
    :special-members: __call__

RandStdShiftIntensity

example of RandStdShiftIntensity

.. autoclass:: RandStdShiftIntensity
    :members:
    :special-members: __call__

RandBiasField

example of RandBiasField

.. autoclass:: RandBiasField
    :members:
    :special-members: __call__

ScaleIntensity

example of ScaleIntensity

.. autoclass:: ScaleIntensity
    :members:
    :special-members: __call__

ClipIntensityPercentiles
.. autoclass:: ClipIntensityPercentiles
    :members:
    :special-members: __call__

RandScaleIntensity

example of RandScaleIntensity

.. autoclass:: RandScaleIntensity
    :members:
    :special-members: __call__

ScaleIntensityFixedMean
.. autoclass:: ScaleIntensityFixedMean
    :members:
    :special-members: __call__

RandScaleIntensityFixedMean
.. autoclass:: RandScaleIntensityFixedMean
    :members:
    :special-members: __call__

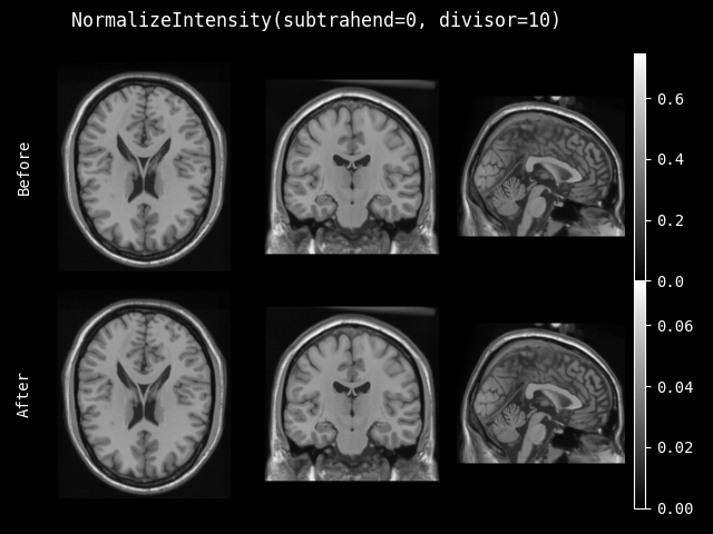
NormalizeIntensity

example of NormalizeIntensity

.. autoclass:: NormalizeIntensity
    :members:
    :special-members: __call__

ThresholdIntensity

example of ThresholdIntensity

.. autoclass:: ThresholdIntensity
    :members:
    :special-members: __call__

ScaleIntensityRange

example of ScaleIntensityRange

.. autoclass:: ScaleIntensityRange
    :members:
    :special-members: __call__

ScaleIntensityRangePercentiles

example of ScaleIntensityRangePercentiles

.. autoclass:: ScaleIntensityRangePercentiles
    :members:
    :special-members: __call__

AdjustContrast

example of AdjustContrast

.. autoclass:: AdjustContrast
    :members:
    :special-members: __call__

RandAdjustContrast

example of RandAdjustContrast

.. autoclass:: RandAdjustContrast
    :members:
    :special-members: __call__

MaskIntensity

example of MaskIntensity

.. autoclass:: MaskIntensity
    :members:
    :special-members: __call__

SavitzkyGolaySmooth

example of SavitzkyGolaySmooth

.. autoclass:: SavitzkyGolaySmooth
    :members:
    :special-members: __call__

MedianSmooth

example of MedianSmooth

.. autoclass:: MedianSmooth
    :members:
    :special-members: __call__

GaussianSmooth

example of GaussianSmooth

.. autoclass:: GaussianSmooth
    :members:
    :special-members: __call__

RandGaussianSmooth

example of RandGaussianSmooth

.. autoclass:: RandGaussianSmooth
    :members:
    :special-members: __call__

GaussianSharpen

example of GaussianSharpen

.. autoclass:: GaussianSharpen
    :members:
    :special-members: __call__

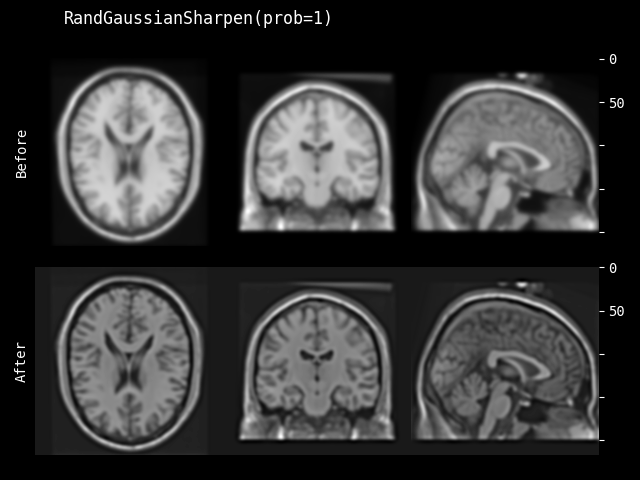
RandGaussianSharpen

example of RandGaussianSharpen

.. autoclass:: RandGaussianSharpen
    :members:
    :special-members: __call__

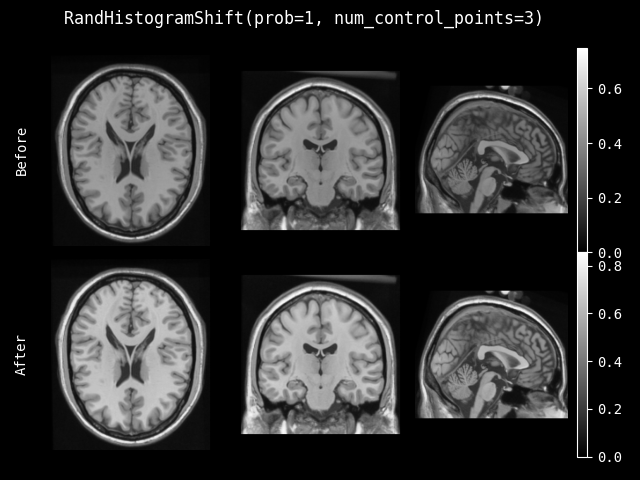
RandHistogramShift

example of RandHistogramShift

.. autoclass:: RandHistogramShift
    :members:
    :special-members: __call__

DetectEnvelope
.. autoclass:: DetectEnvelope
    :members:
    :special-members: __call__

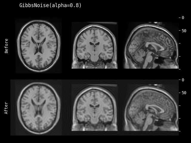
GibbsNoise

example of GibbsNoise

.. autoclass:: GibbsNoise
    :members:
    :special-members: __call__

RandGibbsNoise

example of RandGibbsNoise

.. autoclass:: RandGibbsNoise
    :members:
    :special-members: __call__

KSpaceSpikeNoise

example of KSpaceSpikeNoise

.. autoclass:: KSpaceSpikeNoise
    :members:
    :special-members: __call__

RandKSpaceSpikeNoise

example of RandKSpaceSpikeNoise

.. autoclass:: RandKSpaceSpikeNoise
    :members:
    :special-members: __call__

RandRicianNoise

example of RandRicianNoise

.. autoclass:: RandRicianNoise
    :members:
    :special-members: __call__

RandCoarseTransform
.. autoclass:: RandCoarseTransform
    :members:
    :special-members: __call__

RandCoarseDropout

example of RandCoarseDropout

.. autoclass:: RandCoarseDropout
    :members:
    :special-members: __call__

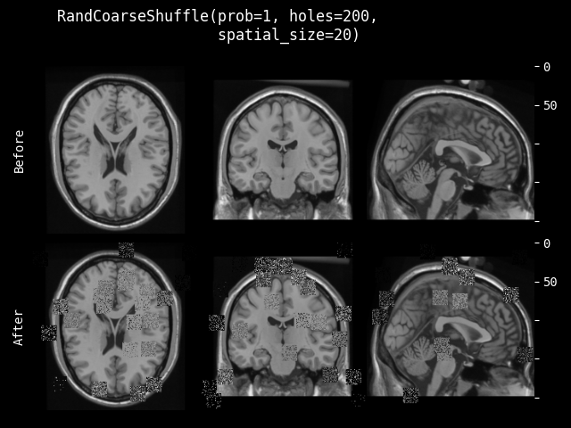
RandCoarseShuffle

example of RandCoarseShuffle

.. autoclass:: RandCoarseShuffle
    :members:
    :special-members: __call__

HistogramNormalize

example of HistogramNormalize

.. autoclass:: HistogramNormalize
    :members:
    :special-members: __call__


ForegroundMask

example of ForegroundMask

.. autoclass:: ForegroundMask
    :members:
    :special-members: __call__

ComputeHoVerMaps
.. autoclass:: ComputeHoVerMaps
    :members:
    :special-members: __call__


IO

LoadImage
.. autoclass:: LoadImage
    :members:
    :special-members: __call__

SaveImage
.. autoclass:: SaveImage
    :members:
    :special-members: __call__

WriteFileMapping
.. autoclass:: WriteFileMapping
    :members:
    :special-members: __call__


NVIDIA Tool Extension (NVTX)

RangePush
.. autoclass:: RangePush

RandRangePush
.. autoclass:: RandRangePush

RangePop
.. autoclass:: RangePop

RandRangePop
.. autoclass:: RandRangePop

Mark
.. autoclass:: Mark

RandMark
.. autoclass:: RandMark


Post-processing

Activations
.. autoclass:: Activations
    :members:
    :special-members: __call__

AsDiscrete

example of AsDiscrete

.. autoclass:: AsDiscrete
    :members:
    :special-members: __call__

KeepLargestConnectedComponent

example of KeepLargestConnectedComponent

.. autoclass:: KeepLargestConnectedComponent
    :members:
    :special-members: __call__

DistanceTransformEDT
.. autoclass:: DistanceTransformEDT
    :members:
    :special-members: __call__

RemoveSmallObjects

example of RemoveSmallObjects

.. autoclass:: RemoveSmallObjects
    :members:
    :special-members: __call__

LabelFilter

example of LabelFilter

.. autoclass:: LabelFilter
    :members:
    :special-members: __call__

FillHoles
.. autoclass:: FillHoles
    :members:
    :special-members: __call__

LabelToContour

example of LabelToContour

.. autoclass:: LabelToContour
    :members:
    :special-members: __call__

MeanEnsemble
.. autoclass:: MeanEnsemble
    :members:
    :special-members: __call__

ProbNMS
.. autoclass:: ProbNMS
  :members:

SobelGradients
.. autoclass:: SobelGradients
  :members:
  :special-members: __call__

VoteEnsemble
.. autoclass:: VoteEnsemble
    :members:
    :special-members: __call__

Invert
.. autoclass:: Invert
    :members:
    :special-members: __call__

Regularization

CutMix
.. autoclass:: CutMix
    :members:
    :special-members: __call__

CutOut
.. autoclass:: CutOut
    :members:
    :special-members: __call__

MixUp
.. autoclass:: MixUp
    :members:
    :special-members: __call__

Signal

SignalRandDrop
.. autoclass:: SignalRandDrop
    :members:
    :special-members: __call__

SignalRandScale
.. autoclass:: SignalRandScale
    :members:
    :special-members: __call__

SignalRandShift
.. autoclass:: SignalRandShift
    :members:
    :special-members: __call__

SignalRandAddSine
.. autoclass:: SignalRandAddSine
    :members:
    :special-members: __call__

SignalRandAddSquarePulse
.. autoclass:: SignalRandAddSquarePulse
    :members:
    :special-members: __call__

SignalRandAddGaussianNoise
.. autoclass:: SignalRandAddGaussianNoise
    :members:
    :special-members: __call__

SignalRandAddSinePartial
.. autoclass:: SignalRandAddSinePartial
    :members:
    :special-members: __call__

SignalRandAddSquarePulsePartial
.. autoclass:: SignalRandAddSquarePulsePartial
    :members:
    :special-members: __call__

SignalFillEmpty
.. autoclass:: SignalFillEmpty
    :members:
    :special-members: __call__

SignalRemoveFrequency
.. autoclass:: SignalRemoveFrequency
    :members:
    :special-members: __call__

SignalContinuousWavelet
.. autoclass:: SignalContinuousWavelet
    :members:
    :special-members: __call__

Spatial

SpatialResample
.. autoclass:: SpatialResample
    :members:
    :special-members: __call__

ResampleToMatch
.. autoclass:: ResampleToMatch
    :members:
    :special-members: __call__

Spacing

example of Spacing

.. autoclass:: Spacing
    :members:
    :special-members: __call__

Orientation

example of Orientation

.. autoclass:: Orientation
    :members:
    :special-members: __call__

RandRotate

example of RandRotate

.. autoclass:: RandRotate
    :members:
    :special-members: __call__

RandFlip

example of RandFlip

.. autoclass:: RandFlip
    :members:
    :special-members: __call__

RandAxisFlip

example of RandAxisFlip

.. autoclass:: RandAxisFlip
    :members:
    :special-members: __call__

RandZoom

example of RandZoom

.. autoclass:: RandZoom
    :members:
    :special-members: __call__

Affine

example of Affine

.. autoclass:: Affine
    :members:
    :special-members: __call__

Resample
.. autoclass:: Resample
    :members:
    :special-members: __call__

RandAffine

example of RandAffine

.. autoclass:: RandAffine
    :members:
    :special-members: __call__

RandDeformGrid
.. autoclass:: RandDeformGrid
    :members:
    :special-members: __call__

AffineGrid
.. autoclass:: AffineGrid
    :members:
    :special-members: __call__

RandAffineGrid
.. autoclass:: RandAffineGrid
    :members:
    :special-members: __call__

GridDistortion

example of GridDistortion

.. autoclass:: GridDistortion
    :members:
    :special-members: __call__

RandGridDistortion

example of RandGridDistortion

.. autoclass:: RandGridDistortion
    :members:
    :special-members: __call__

Rand2DElastic

example of Rand2DElastic

.. autoclass:: Rand2DElastic
    :members:
    :special-members: __call__

Rand3DElastic

example of Rand3DElastic

.. autoclass:: Rand3DElastic
    :members:
    :special-members: __call__

Rotate90

example of Rotate90

.. autoclass:: Rotate90
    :members:
    :special-members: __call__

RandRotate90

example of RandRotate90

.. autoclass:: RandRotate90
    :members:
    :special-members: __call__

Flip

example of Flip

.. autoclass:: Flip
    :members:
    :special-members: __call__

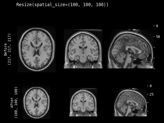
Resize

example of Resize

.. autoclass:: Resize
    :members:
    :special-members: __call__

Rotate

example of Rotate

.. autoclass:: Rotate
    :members:
    :special-members: __call__

Zoom

example of Zoom

.. autoclass:: Zoom
    :members:
    :special-members: __call__

GridPatch
.. autoclass:: GridPatch
    :members:
    :special-members: __call__

RandGridPatch
.. autoclass:: RandGridPatch
    :members:
    :special-members: __call__

GridSplit
.. autoclass:: GridSplit
    :members:
    :special-members: __call__

RandSimulateLowResolution
.. autoclass:: RandSimulateLowResolution
    :members:
    :special-members: __call__

ConvertBoxToPoints
.. autoclass:: ConvertBoxToPoints
    :members:
    :special-members: __call__

ConvertPointsToBoxes
.. autoclass:: ConvertPointsToBoxes
    :members:
    :special-members: __call__


Smooth Field

RandSmoothFieldAdjustContrast

example of RandSmoothFieldAdjustContrast

.. autoclass:: RandSmoothFieldAdjustContrast
    :members:
    :special-members: __call__

RandSmoothFieldAdjustIntensity

example of RandSmoothFieldAdjustIntensity

.. autoclass:: RandSmoothFieldAdjustIntensity
    :members:
    :special-members: __call__

RandSmoothDeform

example of RandSmoothDeform

.. autoclass:: RandSmoothDeform
    :members:
    :special-members: __call__


MRI Transforms

Kspace under-sampling
.. autoclass:: monai.apps.reconstruction.transforms.array.KspaceMask
    :members:
    :special-members: __call__

.. autoclass:: monai.apps.reconstruction.transforms.array.RandomKspaceMask
    :special-members: __call__

.. autoclass:: monai.apps.reconstruction.transforms.array.EquispacedKspaceMask
    :special-members: __call__


Lazy

ApplyPending
.. autoclass:: ApplyPending
    :members:
    :special-members: __call__


Utility

Identity
.. autoclass:: Identity
    :members:
    :special-members: __call__

AsChannelLast
.. autoclass:: AsChannelLast
    :members:
    :special-members: __call__

EnsureChannelFirst
.. autoclass:: EnsureChannelFirst
    :members:
    :special-members: __call__

RepeatChannel
.. autoclass:: RepeatChannel
    :members:
    :special-members: __call__

SplitDim
.. autoclass:: SplitDim
    :members:
    :special-members: __call__

CastToType
.. autoclass:: CastToType
    :members:
    :special-members: __call__

ToTensor
.. autoclass:: ToTensor
    :members:
    :special-members: __call__

ToNumpy
.. autoclass:: ToNumpy
    :members:
    :special-members: __call__

ToCupy
.. autoclass:: ToCupy
    :members:
    :special-members: __call__

Transpose
.. autoclass:: Transpose
    :members:
    :special-members: __call__

SqueezeDim
.. autoclass:: SqueezeDim
    :members:
    :special-members: __call__

DataStats
.. autoclass:: DataStats
    :members:
    :special-members: __call__

SimulateDelay
.. autoclass:: SimulateDelay
    :members:
    :special-members: __call__


Lambda
.. autoclass:: Lambda
    :members:
    :special-members: __call__

RandLambda
.. autoclass:: RandLambda
    :members:
    :special-members: __call__

RemoveRepeatedChannel
.. autoclass:: RemoveRepeatedChannel
    :members:
    :special-members: __call__

LabelToMask
.. autoclass:: LabelToMask
    :members:
    :special-members: __call__

FgBgToIndices
.. autoclass:: FgBgToIndices
    :members:
    :special-members: __call__

ClassesToIndices
.. autoclass:: ClassesToIndices
    :members:
    :special-members: __call__

ConvertToMultiChannelBasedOnBratsClasses
.. autoclass:: ConvertToMultiChannelBasedOnBratsClasses
    :members:
    :special-members: __call__

AddExtremePointsChannel
.. autoclass:: AddExtremePointsChannel
    :members:
    :special-members: __call__

TorchVision
.. autoclass:: TorchVision
    :members:
    :special-members: __call__

TorchIO
.. autoclass:: TorchIO
    :members:
    :special-members: __call__

RandTorchIO
.. autoclass:: RandTorchIO
    :members:
    :special-members: __call__

MapLabelValue
.. autoclass:: MapLabelValue
    :members:
    :special-members: __call__

EnsureType
.. autoclass:: EnsureType
    :members:
    :special-members: __call__

IntensityStats
.. autoclass:: IntensityStats
    :members:
    :special-members: __call__

ToDevice
.. autoclass:: ToDevice
     :members:
     :special-members: __call__

CuCIM
.. autoclass:: CuCIM
    :members:
    :special-members: __call__

RandCuCIM
.. autoclass:: RandCuCIM
    :members:
    :special-members: __call__

AddCoordinateChannels
.. autoclass:: AddCoordinateChannels
    :members:
    :special-members: __call__

ImageFilter
.. autoclass:: ImageFilter
    :members:
    :special-members: __call__

RandImageFilter
.. autoclass:: RandImageFilter
    :members:
    :special-members: __call__

ApplyTransformToPoints
.. autoclass:: ApplyTransformToPoints
    :members:
    :special-members: __call__

FlattenSequence
.. autoclass:: FlattenSequence
    :members:
    :special-members: __call__

Dictionary Transforms

Crop and Pad (Dict)

Padd
.. autoclass:: Padd
    :members:
    :special-members: __call__

SpatialPadd

example of SpatialPadd

.. autoclass:: SpatialPadd
    :members:
    :special-members: __call__

BorderPadd

example of BorderPadd

.. autoclass:: BorderPadd
    :members:
    :special-members: __call__

DivisiblePadd

example of DivisiblePadd

.. autoclass:: DivisiblePadd
    :members:
    :special-members: __call__

Cropd
.. autoclass:: Cropd
    :members:
    :special-members: __call__

RandCropd
.. autoclass:: RandCropd
    :members:
    :special-members: __call__

SpatialCropd

example of SpatialCropd

.. autoclass:: SpatialCropd
    :members:
    :special-members: __call__

CenterSpatialCropd

example of CenterSpatialCropd

.. autoclass:: CenterSpatialCropd
    :members:
    :special-members: __call__

RandSpatialCropd

example of RandSpatialCropd

.. autoclass:: RandSpatialCropd
    :members:
    :special-members: __call__

RandSpatialCropSamplesd

example of RandSpatialCropSamplesd

.. autoclass:: RandSpatialCropSamplesd
    :members:
    :special-members: __call__

CropForegroundd

example of CropForegroundd

.. autoclass:: CropForegroundd
    :members:
    :special-members: __call__

RandWeightedCropd

example of RandWeightedCropd

.. autoclass:: RandWeightedCropd
    :members:
    :special-members: __call__

RandCropByPosNegLabeld

example of RandCropByPosNegLabeld

.. autoclass:: RandCropByPosNegLabeld
    :members:
    :special-members: __call__

RandCropByLabelClassesd

example of RandCropByLabelClassesd

.. autoclass:: RandCropByLabelClassesd
    :members:
    :special-members: __call__

ResizeWithPadOrCropd

example of ResizeWithPadOrCropd

.. autoclass:: ResizeWithPadOrCropd
    :members:
    :special-members: __call__

BoundingRectd
.. autoclass:: BoundingRectd
    :members:
    :special-members: __call__

RandScaleCropd

example of RandScaleCropd

.. autoclass:: RandScaleCropd
    :members:
    :special-members: __call__

CenterScaleCropd

example of CenterScaleCropd

.. autoclass:: CenterScaleCropd
    :members:
    :special-members: __call__

Intensity (Dict)

RandGaussianNoised

example of RandGaussianNoised

.. autoclass:: RandGaussianNoised
    :members:
    :special-members: __call__

ShiftIntensityd

example of ShiftIntensityd

.. autoclass:: ShiftIntensityd
    :members:
    :special-members: __call__

RandShiftIntensityd

example of RandShiftIntensityd

.. autoclass:: RandShiftIntensityd
    :members:
    :special-members: __call__

StdShiftIntensityd

example of StdShiftIntensityd

.. autoclass:: StdShiftIntensityd
    :members:
    :special-members: __call__

RandStdShiftIntensityd

example of RandStdShiftIntensityd

.. autoclass:: RandStdShiftIntensityd
    :members:
    :special-members: __call__

RandBiasFieldd

example of RandBiasFieldd

.. autoclass:: RandBiasFieldd
    :members:
    :special-members: __call__

ScaleIntensityd

example of ScaleIntensityd

.. autoclass:: ScaleIntensityd
    :members:
    :special-members: __call__

ClipIntensityPercentilesd
.. autoclass:: ClipIntensityPercentilesd
    :members:
    :special-members: __call__

RandScaleIntensityd

example of RandScaleIntensityd

.. autoclass:: RandScaleIntensityd
    :members:
    :special-members: __call__

RandScaleIntensityFixedMeand
.. autoclass:: RandScaleIntensityFixedMeand
    :members:
    :special-members: __call__

NormalizeIntensityd

example of NormalizeIntensityd

.. autoclass:: NormalizeIntensityd
    :members:
    :special-members: __call__

ThresholdIntensityd

example of ThresholdIntensityd

.. autoclass:: ThresholdIntensityd
    :members:
    :special-members: __call__

ScaleIntensityRanged

example of ScaleIntensityRanged

.. autoclass:: ScaleIntensityRanged
    :members:
    :special-members: __call__

GibbsNoised

example of GibbsNoised

.. autoclass:: GibbsNoised
    :members:
    :special-members: __call__

RandGibbsNoised

example of RandGibbsNoised

.. autoclass:: RandGibbsNoised
    :members:
    :special-members: __call__

KSpaceSpikeNoised

example of KSpaceSpikeNoised

.. autoclass:: KSpaceSpikeNoised
    :members:
    :special-members: __call__

RandKSpaceSpikeNoised

example of RandKSpaceSpikeNoised

.. autoclass:: RandKSpaceSpikeNoised
    :members:
    :special-members: __call__

RandRicianNoised

example of RandRicianNoised

.. autoclass:: RandRicianNoised
    :members:
    :special-members: __call__

ScaleIntensityRangePercentilesd

example of ScaleIntensityRangePercentilesd

.. autoclass:: ScaleIntensityRangePercentilesd
    :members:
    :special-members: __call__

AdjustContrastd

example of AdjustContrastd

.. autoclass:: AdjustContrastd
    :members:
    :special-members: __call__

RandAdjustContrastd

example of RandAdjustContrastd

.. autoclass:: RandAdjustContrastd
    :members:
    :special-members: __call__

MaskIntensityd

example of MaskIntensityd

.. autoclass:: MaskIntensityd
    :members:
    :special-members: __call__

SavitzkyGolaySmoothd

example of SavitzkyGolaySmoothd

.. autoclass:: SavitzkyGolaySmoothd
    :members:
    :special-members: __call__

MedianSmoothd

example of MedianSmoothd

.. autoclass:: MedianSmoothd
    :members:
    :special-members: __call__

GaussianSmoothd

example of GaussianSmoothd

.. autoclass:: GaussianSmoothd
    :members:
    :special-members: __call__

RandGaussianSmoothd

example of RandGaussianSmoothd

.. autoclass:: RandGaussianSmoothd
    :members:
    :special-members: __call__

GaussianSharpend

example of GaussianSharpend

.. autoclass:: GaussianSharpend
    :members:
    :special-members: __call__

RandGaussianSharpend

example of RandGaussianSharpend

.. autoclass:: RandGaussianSharpend
    :members:
    :special-members: __call__

RandHistogramShiftd

example of RandHistogramShiftd

.. autoclass:: RandHistogramShiftd
    :members:
    :special-members: __call__

RandCoarseDropoutd

example of RandCoarseDropoutd

.. autoclass:: RandCoarseDropoutd
    :members:
    :special-members: __call__

RandCoarseShuffled

example of RandCoarseShuffled

.. autoclass:: RandCoarseShuffled
    :members:
    :special-members: __call__

HistogramNormalized

example of HistogramNormalized

.. autoclass:: HistogramNormalized
    :members:
    :special-members: __call__

ForegroundMaskd

example of ForegroundMaskd

.. autoclass:: ForegroundMaskd
    :members:
    :special-members: __call__

ComputeHoVerMapsd
.. autoclass:: ComputeHoVerMapsd
    :members:
    :special-members: __call__

IO (Dict)

LoadImaged
.. autoclass:: LoadImaged
    :members:
    :special-members: __call__

SaveImaged
.. autoclass:: SaveImaged
    :members:
    :special-members: __call__

WriteFileMappingd
.. autoclass:: WriteFileMappingd
    :members:
    :special-members: __call__

Post-processing (Dict)

Activationsd
.. autoclass:: Activationsd
    :members:
    :special-members: __call__

AsDiscreted

example of AsDiscreted

.. autoclass:: AsDiscreted
    :members:
    :special-members: __call__

KeepLargestConnectedComponentd

example of KeepLargestConnectedComponentd

.. autoclass:: KeepLargestConnectedComponentd
    :members:
    :special-members: __call__

DistanceTransformEDTd
.. autoclass:: DistanceTransformEDTd
    :members:
    :special-members: __call__

RemoveSmallObjectsd

example of RemoveSmallObjectsd

.. autoclass:: RemoveSmallObjectsd
    :members:
    :special-members: __call__

LabelFilterd

example of LabelFilterd

.. autoclass:: LabelFilterd
    :members:
    :special-members: __call__

FillHolesd
.. autoclass:: FillHolesd
    :members:
    :special-members: __call__

LabelToContourd

example of LabelToContourd

.. autoclass:: LabelToContourd
    :members:
    :special-members: __call__

Ensembled
.. autoclass:: Ensembled
    :members:
    :special-members: __call__

MeanEnsembled
.. autoclass:: MeanEnsembled
    :members:
    :special-members: __call__

VoteEnsembled
.. autoclass:: VoteEnsembled
    :members:
    :special-members: __call__

Invertd
.. autoclass:: Invertd
    :members:
    :special-members: __call__

SaveClassificationd
.. autoclass:: SaveClassificationd
    :members:
    :special-members: __call__

ProbNMSd
.. autoclass:: ProbNMSd
  :members:
  :special-members: __call__


SobelGradientsd
.. autoclass:: SobelGradientsd
  :members:
  :special-members: __call__

Regularization (Dict)

CutMixd
.. autoclass:: CutMixd
    :members:
    :special-members: __call__

CutOutd
.. autoclass:: CutOutd
    :members:
    :special-members: __call__

MixUpd
.. autoclass:: MixUpd
    :members:
    :special-members: __call__

Signal (Dict)

SignalFillEmptyd
.. autoclass:: SignalFillEmptyd
    :members:
    :special-members: __call__


Spatial (Dict)

SpatialResampled
.. autoclass:: SpatialResampled
    :members:
    :special-members: __call__

ResampleToMatchd
.. autoclass:: ResampleToMatchd
    :members:
    :special-members: __call__

Spacingd

example of Spacingd

.. autoclass:: Spacingd
    :members:
    :special-members: __call__

Orientationd

example of Orientationd

.. autoclass:: Orientationd
    :members:
    :special-members: __call__

Flipd

example of Flipd

.. autoclass:: Flipd
    :members:
    :special-members: __call__

RandFlipd

example of RandFlipd

.. autoclass:: RandFlipd
    :members:
    :special-members: __call__

RandAxisFlipd

example of RandAxisFlipd

.. autoclass:: RandAxisFlipd
    :members:
    :special-members: __call__

Rotated

example of Rotated

.. autoclass:: Rotated
    :members:
    :special-members: __call__

RandRotated

example of RandRotated

.. autoclass:: RandRotated
    :members:
    :special-members: __call__

Zoomd

example of Zoomd

.. autoclass:: Zoomd
    :members:
    :special-members: __call__

RandZoomd

example of RandZoomd

.. autoclass:: RandZoomd
    :members:
    :special-members: __call__

GridPatchd
.. autoclass:: GridPatchd
    :members:
    :special-members: __call__

RandGridPatchd
.. autoclass:: RandGridPatchd
    :members:
    :special-members: __call__

GridSplitd
.. autoclass:: GridSplitd
    :members:
    :special-members: __call__


RandRotate90d

example of RandRotate90d

.. autoclass:: RandRotate90d
    :members:
    :special-members: __call__

Rotate90d

example of Rotate90d

.. autoclass:: Rotate90d
    :members:
    :special-members: __call__

Resized

example of Resized

.. autoclass:: Resized
    :members:
    :special-members: __call__

Affined

example of Affined

.. autoclass:: Affined
    :members:
    :special-members: __call__

RandAffined

example of RandAffined

.. autoclass:: RandAffined
    :members:
    :special-members: __call__

Rand2DElasticd

example of Rand2DElasticd

.. autoclass:: Rand2DElasticd
    :members:
    :special-members: __call__

Rand3DElasticd

example of Rand3DElasticd

.. autoclass:: Rand3DElasticd
    :members:
    :special-members: __call__

GridDistortiond

example of GridDistortiond

.. autoclass:: GridDistortiond
    :members:
    :special-members: __call__

RandGridDistortiond

example of RandGridDistortiond

.. autoclass:: RandGridDistortiond
    :members:
    :special-members: __call__

RandSimulateLowResolutiond
.. autoclass:: RandSimulateLowResolutiond
    :members:
    :special-members: __call__

ConvertBoxToPointsd
.. autoclass:: ConvertBoxToPointsd
    :members:
    :special-members: __call__

ConvertPointsToBoxesd
.. autoclass:: ConvertPointsToBoxesd
    :members:
    :special-members: __call__


Smooth Field (Dict)

RandSmoothFieldAdjustContrastd

example of RandSmoothFieldAdjustContrastd

.. autoclass:: RandSmoothFieldAdjustContrastd
    :members:
    :special-members: __call__

RandSmoothFieldAdjustIntensityd

example of RandSmoothFieldAdjustIntensityd

.. autoclass:: RandSmoothFieldAdjustIntensityd
    :members:
    :special-members: __call__

RandSmoothDeformd

example of RandSmoothDeformd

.. autoclass:: RandSmoothDeformd
    :members:
    :special-members: __call__


MRI transforms (Dict)

Kspace under-sampling (Dict)
.. autoclass:: monai.apps.reconstruction.transforms.dictionary.RandomKspaceMaskd
    :special-members: __call__

.. autoclass:: monai.apps.reconstruction.transforms.dictionary.EquispacedKspaceMaskd
    :special-members: __call__

ExtractDataKeyFromMetaKeyd
.. autoclass:: monai.apps.reconstruction.transforms.dictionary.ExtractDataKeyFromMetaKeyd
    :special-members: __call__

ReferenceBasedSpatialCropd
.. autoclass:: monai.apps.reconstruction.transforms.dictionary.ReferenceBasedSpatialCropd
    :special-members: __call__

ReferenceBasedNormalizeIntensityd
.. autoclass:: monai.apps.reconstruction.transforms.dictionary.ReferenceBasedNormalizeIntensityd
    :special-members: __call__


Lazy (Dict)

ApplyPendingd
.. autoclass:: ApplyPendingd
    :members:
    :special-members: __call__


Utility (Dict)

Identityd
.. autoclass:: Identityd
    :members:
    :special-members: __call__

AsChannelLastd
.. autoclass:: AsChannelLastd
    :members:
    :special-members: __call__

EnsureChannelFirstd
.. autoclass:: EnsureChannelFirstd
    :members:
    :special-members: __call__

RepeatChanneld
.. autoclass:: RepeatChanneld
    :members:
    :special-members: __call__

SplitDimd
.. autoclass:: SplitDimd
    :members:
    :special-members: __call__

CastToTyped
.. autoclass:: CastToTyped
    :members:
    :special-members: __call__

ToTensord
.. autoclass:: ToTensord
    :members:
    :special-members: __call__

ToNumpyd
.. autoclass:: ToNumpyd
    :members:
    :special-members: __call__

ToPIL
.. autoclass:: ToPIL
    :members:
    :special-members: __call__

ToCupyd
.. autoclass:: ToCupyd
    :members:
    :special-members: __call__

ToPILd
.. autoclass:: ToPILd
    :members:
    :special-members: __call__

DeleteItemsd
.. autoclass:: DeleteItemsd
    :members:
    :special-members: __call__

SelectItemsd
.. autoclass:: SelectItemsd
    :members:
    :special-members: __call__

FlattenSubKeysd
.. autoclass:: FlattenSubKeysd
    :members:
    :special-members: __call__

Transposed
.. autoclass:: Transposed
    :members:
    :special-members: __call__

SqueezeDimd
.. autoclass:: SqueezeDimd
    :members:
    :special-members: __call__

DataStatsd
.. autoclass:: DataStatsd
    :members:
    :special-members: __call__

SimulateDelayd
.. autoclass:: SimulateDelayd
    :members:
    :special-members: __call__

CopyItemsd
.. autoclass:: CopyItemsd
    :members:
    :special-members: __call__

ConcatItemsd
.. autoclass:: ConcatItemsd
    :members:
    :special-members: __call__

Lambdad
.. autoclass:: Lambdad
    :members:
    :special-members: __call__

RandLambdad
.. autoclass:: RandLambdad
    :members:
    :special-members: __call__

RemoveRepeatedChanneld
.. autoclass:: RemoveRepeatedChanneld
    :members:
    :special-members: __call__

LabelToMaskd
.. autoclass:: LabelToMaskd
    :members:
    :special-members: __call__

FgBgToIndicesd
.. autoclass:: FgBgToIndicesd
    :members:
    :special-members: __call__

ClassesToIndicesd
.. autoclass:: ClassesToIndicesd
    :members:
    :special-members: __call__

ConvertToMultiChannelBasedOnBratsClassesd
.. autoclass:: ConvertToMultiChannelBasedOnBratsClassesd
    :members:
    :special-members: __call__

AddExtremePointsChanneld
.. autoclass:: AddExtremePointsChanneld
    :members:
    :special-members: __call__

TorchVisiond
.. autoclass:: TorchVisiond
    :members:
    :special-members: __call__

RandTorchVisiond
.. autoclass:: RandTorchVisiond
    :members:
    :special-members: __call__

TorchIOd
.. autoclass:: TorchIOd
    :members:
    :special-members: __call__

RandTorchIOd
.. autoclass:: RandTorchIOd
    :members:
    :special-members: __call__

MapLabelValued
.. autoclass:: MapLabelValued
    :members:
    :special-members: __call__

EnsureTyped
.. autoclass:: EnsureTyped
    :members:
    :special-members: __call__

IntensityStatsd
.. autoclass:: IntensityStatsd
    :members:
    :special-members: __call__

ToDeviced
.. autoclass:: ToDeviced
    :members:
    :special-members: __call__

CuCIMd
.. autoclass:: CuCIMd
    :members:
    :special-members: __call__

RandCuCIMd
.. autoclass:: RandCuCIMd
    :members:
    :special-members: __call__

AddCoordinateChannelsd
.. autoclass:: AddCoordinateChannelsd
    :members:
    :special-members: __call__

ImageFilterd
.. autoclass:: ImageFilterd
    :members:
    :special-members: __call__

RandImageFilterd
.. autoclass:: RandImageFilterd
    :members:
    :special-members: __call__

ApplyTransformToPointsd
.. autoclass:: ApplyTransformToPointsd
    :members:
    :special-members: __call__

FlattenSequenced
.. autoclass:: FlattenSequenced
    :members:
    :special-members: __call__


MetaTensor

ToMetaTensord
.. autoclass:: ToMetaTensord
    :members:
    :special-members: __call__

FromMetaTensord
.. autoclass:: FromMetaTensord
    :members:
    :special-members: __call__

Transform Adaptors

.. automodule:: monai.transforms.adaptors

FunctionSignature

.. autoclass:: FunctionSignature
    :members:

adaptor

.. autofunction:: monai.transforms.adaptors.adaptor

apply_alias

.. autofunction:: monai.transforms.adaptors.apply_alias

to_kwargs

.. autofunction:: monai.transforms.adaptors.to_kwargs

Utilities

.. automodule:: monai.transforms.utils
    :members:

.. automodule:: monai.transforms.utils_pytorch_numpy_unification
    :members:

.. automodule:: monai.transforms.utils_morphological_ops
    :members:

By Categories

.. toctree::
   :maxdepth: 1

   transforms_idx